インプラントの治療例
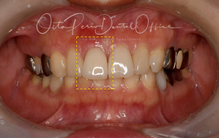
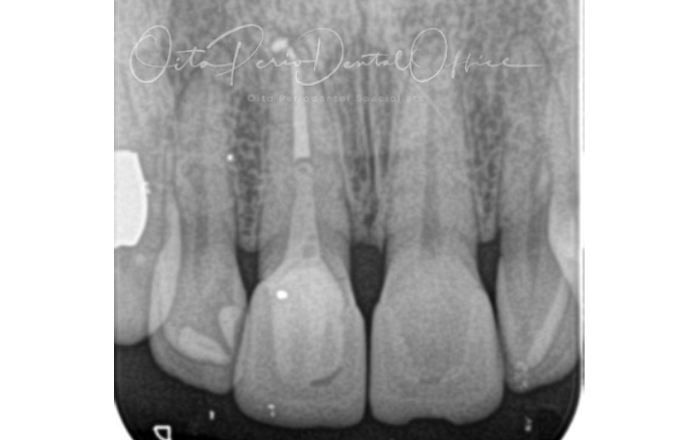
症例1 : 右上の前歯が折れているのでインプラントにしたい
治療前の写真
治療後の写真
治療前のレントゲン
治療後のレントゲン
治療中の経過画像①
治療中の経過画像②
| 治療期間 | 5ヶ月 |
|---|---|
| 治療費 | 65万円 |
| 治療内容 | 右上中切歯インプラント埋入+骨造成+右上中切歯補綴治療 |
| 治療のリスク | 術後の疼痛・腫脹 術後の注意事項を フォローしない場合は 失敗の可能性あり |
| 治療期間 | 5ヶ月 |
|---|---|
| 治療費 | 65万円 |
| 治療内容 | 右上中切歯インプラント埋入+骨造成+右上中切歯補綴治療 |
| 治療のリスク | 術後の疼痛・腫脹 術後の注意事項を フォローしない場合は 失敗の可能性あり |