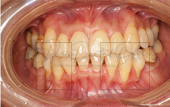
歯ぐきが下がってしまい、冷たいものがしみる、歯磨きが難しい、見た目が悪くなってしまうなどの症状はありませんか?
歯ぐきが下がった状態を改善するには、根面被覆という方法があります。これは、歯ぐきの移植を行なったり、下がってしまった歯ぐきの位置を改善することで露出している歯の根面をカバーすることを目的としています。

歯ぐきが下がってしまい、冷たいものがしみる、歯磨きが難しい、見た目が悪くなってしまうなどの症状はありませんか?
歯ぐきが下がった状態を改善するには、根面被覆という方法があります。これは、歯ぐきの移植を行なったり、下がってしまった歯ぐきの位置を改善することで露出している歯の根面をカバーすることを目的としています。
歯ぐきが下がっている部位の歯の形や歯ぐきの形・厚さなど様々な条件によって治療方法や治療テクニックの選択を決定
していきます。
また、矯正治療の後に歯ぐきが下がってしまったという患者さんも多く来院されています。矯正治療後に歯ぐきが下がってしまうことが事前に予測できている場合は、矯正治療前に根面被覆を行うことで将来的な歯ぐきの退縮が予防できることもあります。もしも歯ぐきが下がって心配などありましたらご相談下さい。
・「昔より歯が長くなったように見える」
・「冷たいものを飲むと、歯の根元がピリッと痛む
(知覚過敏)」
・「歯磨きがしにくく、根元に汚れが溜まりやすい」
・「矯正治療を行ったら、歯ぐきが痩せてしまった」
・「インプラントや差し歯の金属の境界が見えてきて
気になる」

これらは「歯肉退縮(しにくたいしゅく)」と呼ばれる状態です。「年齢のせいだから」「強く磨きすぎたから」と諦めてしまう方が多いのですが、アメリカ歯周病専門医の専門分野の1つである歯周形成外科を用いることで、ご自身の歯ぐきを健康的で美しい状態に回復できる可能性があります。

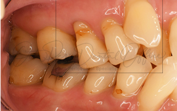
下がってしまった歯ぐきを放置することの最大の怖さは、歯ぐきの不揃いによって見た目が老けて見えることだけではありません。「虫歯」と「歯周病」のリスクが増加する懸念があることにあります。
歯ぐきが下がって露出した歯の根元(象牙質・セメント質)は、普段見えている歯の表面(エナメル質)に比べて酸に非常に弱く、虫歯(根面う蝕)が進行しやすい傾向があります。
歯周病学における国際的なガイドラインにおいても、「治療せずに放置された歯肉退縮は、高い確率でさらに悪化し、歯を支える組織の破壊(アタッチメントロス)を引き起こす」ことが示されています。また、露出した根面は知覚過敏だけでなく、根面う蝕の発生リスクを著しく高める可能性があることが科学的に指摘されています。
・Chambrone L, et al. (2016) Journal of Periodontology. "Long-Term Outcomes of Untreated Buccal Gingival Recessions"
・Cortellini P, et al. (2018) Journal of Periodontology. "Mucogingival conditions in the natural dentition"
歯ぐきが下がった状態を改善するには、「根面被覆術」という治療の選択肢があります。これは、健康な歯ぐきの移植を行ったり、下がってしまった歯ぐきの位置を改善したりすることで、露出している歯の根面をカバーすることを目的としています。
当院では、歯ぐきが下がっている部位の歯の形や、歯ぐきの厚さなど様々な条件を精密に診断し、患者様それぞれに合った最適な治療方法やテクニックを決定していきます。

当院には、「矯正治療の後に歯ぐきが下がってしまった」という患者様も多く来院されています。 歯ぐきが薄い方などは、矯正治療後に歯ぐきが下がってしまうリスクが事前に予測できるケースがあります。その場合、矯正治療前に予防的な根面被覆を行うことで、将来的な歯ぐきの退縮を防げることもあります。
もしも歯ぐきが下がって心配なこと、知覚過敏や見た目でお悩みのことがありましたら、大分県で唯一のアメリカ歯周病専門医である当院へぜひ一度ご相談下さい。
| 治療期間 | 6週間 |
|---|---|
| 治療費 | 13万 |
| 治療内容 | 右下1・左下1根面被覆(結合組織移植術) |
| 治療のリスク | ドナーサイトが必要、術後の疼痛・腫脹、術後の注意事項をフォローしない場合は失敗の 可能性あり |
| 治療期間 | 6週間 |
|---|---|
| 治療費 | 13万(手術が2回の場合は26万) |
| 治療内容 | 右下3・4、左下2・3・4根面被覆(結合組織移植術) |
| 治療のリスク | ドナーサイトが必要、術後の疼痛・腫脹、術後の注意事項をフォローしない場合は失敗の可能性あり |
| 治療期間 | 6週間 |
|---|---|
| 治療費 | 13万 |
| 治療内容 | 左下小臼歯(4,5) 根面被覆(結合組織移植術) |
| 治療のリスク | ドナーサイトが必要、 術後の疼痛・腫脹、術後の注意事項をフォローしない場合は失敗の可能性あり |
| 治療期間 | 6週間 |
|---|---|
| 治療費 | 13万 |
| 治療内容 | 右上犬歯・小臼歯 (3, 4, 5) 根面被覆(結合組織移植術) |
| 治療のリスク | ドナーサイトが必要、術後の疼痛・腫脹、 術後の注意事項をフォローしない場合は失敗の可能性あり |
| 治療期間 | 6週間 |
|---|---|
| 治療費 | 17万 |
| 治療内容 | 右上犬歯、左上犬歯 根面被覆(結合組織移植術) |
| 治療のリスク | ドナーサイトが必要、術後の疼痛・腫脹、術後の注意事項をフォローしない場合は失敗の可能性あり |
| 治療期間 | 6週間 |
|---|---|
| 治療費 | 24万 |
| 治療内容 | 上顎前歯部根面被覆術、下顎前歯部遊離歯肉移植術 |
| 治療のリスク | ドナーサイトが必要、 術後の疼痛・腫脹、術後の注意事項をフォローしない場合は失敗の可能性あり |
手術中はしっかりと局所麻酔を効かせるため、強い痛みを感じることはほとんどありません。当院では、アメリカ歯周病専門医としての「マイクロサージェリー(顕微鏡下での精密な手術)」技術を用い、傷口をできる限り小さくする低侵襲(ていしんしゅう)な処置を心がけています。麻酔が切れた後に多少の痛みや腫れ、違和感が生じることはありますが、多くの場合、処置中の工夫による術後の疼痛コントロールと処方する鎮痛剤(痛み止め)でコントロールできる範囲です。
術後の不快な症状を軽減し、傷口を保護するために「専用の保護プレート(マウスピースのような装置)」を作成して装着していただきます。完全に元の状態に回復するまでには数ヶ月を要しますが、保護プレートを使用することで、お食事や会話時のヒリヒリとした痛みを和らげることができます。
強い刺激を与えると、移植した組織がうまく生着しない(くっつかない)リスクがあるためです。その間は、当院で処方する専用の洗口液(うがい薬)で優しくお口の中を清潔に保っていただきます。また、術後数日間は硬いものや刺激物を避け、患部に負担の少ない柔らかいお食事をお願いしております。
歯の表側の歯ぐきだけが下がっている初期の状態であれば、高い確率で元の位置に近い状態まで回復させること(完全根面被覆)が期待できます。しかし、重度の歯周病などで歯と歯の間の骨まで大きく溶けてしまっている場合は、完全に覆うことが難しいケースも存在します(部分的な根面被覆)。当院では事前の精密検査に基づき、「どこまで美しく回復できそうか」という見通しを、術前に包み隠さず丁寧にご説明いたします。
術後、約2〜4週間後に抜糸を行います。移植した歯ぐきが周囲と馴染み、自然なピンク色に成熟していく状態を確認するため、約3ヶ月ほどの経過観察を行います。状態によって治癒期間は異なりますが、大分県外など遠方からご来院の患者様には、できる限り負担の少ない通院計画をご提案することも可能です。